
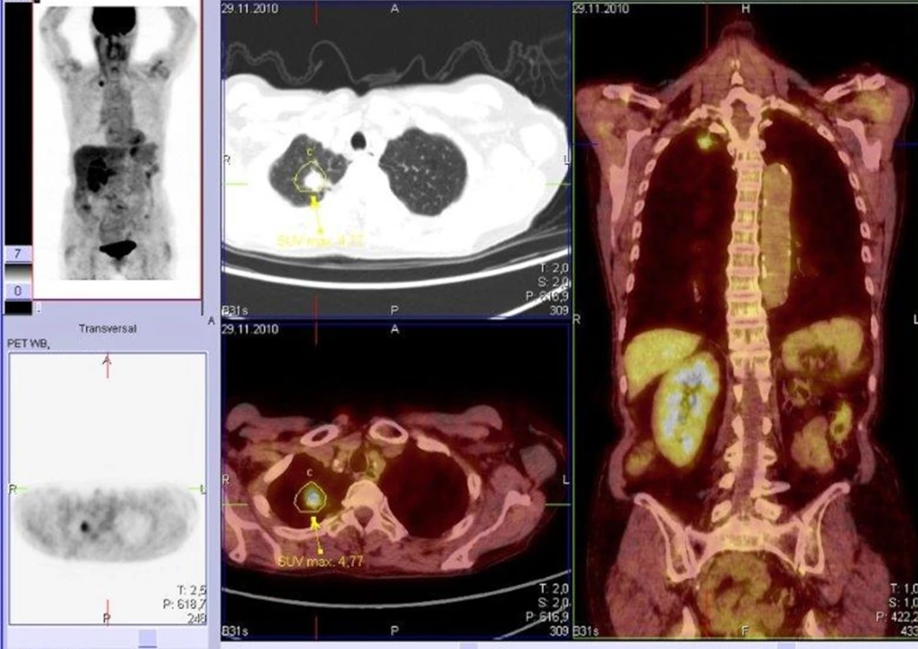
PET-CT eines bösartigen Lungenherdes
PET-Computertomographie
Die PET-CT ist eine Kombination aus 2 unterschiedlichen bildgebenden Untersuchungsverfahren, nämlich der Positronen-Emissions-Tomographie (PET) und der Computertomographie (CT).
Mittels radioaktiv markiertem Traubenzucker (FDG) oder anderer PET-Tracer können Stoffwechselvorgänge im Körper sichtbar gemacht werden.
In Kooperation mit der Ernst-von-Bergmann-Klinik in Potsdam im PET-CT-Zentrum bieten wir alle gängigen PET-CT-Untersuchungen an.
Indikationen:
- Bronchialkarzinom (nicht kleinzellig),
- solitärer Lungenrundherd,
- bösartige Lymphome oder
- kolorektales Karzinom.
Ablauf:
Zum Untersuchungsbeginn bekommen Sie eine Zuckerlösung injiziert. Danach müssen Sie ca. 1 Stunde warten, bevor die Aufnahmen gestartet werden.
Vor der Untersuchung müssen Sie 6 Stunden nüchtern sein; Wasser können Sie trinken.
Folgende Laborwerte werden benötigt:
- Serum-Kreatinin als Maß für die Nierenfunktion (darf nicht älter als 1 Monat sein, falls eine Nierenfunktionsstörung vorliegt) und
- TSH als Maß für die Schilddrüsenfunktion (max. 1 Monat alt).
Die Untersuchung dauert ca. 45 Minuten.
